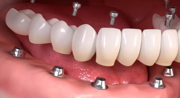
The All-on-6 implant is a form of dental enhancement that replaces a complete system of teeth, either on the upper jaw or the lower jaw, via the use of six specially placed dental implants that serve as anchors. It is a method of providing a permanent, immovable bridge, which offers a highly functional and aesthetically pleasing alternative to conventional dentures.

Indications

  • Missing All Teeth (Edentulism) : The patient has lost all their teeth in an arched or both arches and needs a permanent, fixed, full-mouth restoration.
  • Missing Dentition: Patients who have severely damaged or decayed, or periodontally compromised teeth and need extractions of the whole mouth.
  • Denture Intolerance : This refers to patients who wish to replace traditional, removable dentures with a more stable, non-removable set of teeth that mimic the functions of natural teeth.

Effects

  • Optimal Stability and Biting Force : 6 implants provide better stability and distribute loads, resulting in a very stable and fixed arch that enables patients to eat, talk, and smile with confidence, while maintaining a biting force similar to natural teeth.
  • Jawbone Maintenance : The tooth replacement fused with the jawbone, which would typically shrink (atrophy) due to missing teeth, prevents the facial form from changing, thereby maintaining the facial appearance and avoiding the sunken look often caused by tooth loss.
  • Immediate Function (Often) : In numerous instances, a patient may be fitted with a temporary, fixed set of teeth immediately after implant surgery, allowing them to walk out with working teeth as the implants enter the healing phase.

Why Choose This Clinic?

Our state-of-the-art surgical procedures and planning, utilising 3D technology, precisely position all six implants, providing you with an optimum level of stability and the best quality aesthetic results for your new smile.

Get in touch with us.