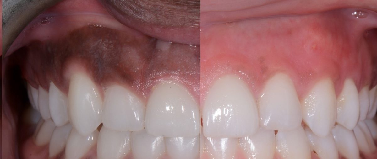
Gum depigmentation is a cosmetic periodontal surgery that removes or reduces excessive melanin pigmentation, also known as dark or black spots, in the gum tissue (gingiva). The process is commonly used to create a more homogeneous, pink, and aesthetically pleasing appearance of the gum, particularly in patients who display a gummy smile.

Indications

  • Excess Melanin Pigmentation : Dark, patchy, genetically predetermined gum tissue that is easily visible during a patient's smile, resulting in cosmetic estrangement.
  • Aesthetic Discrepancy : A smile in which the colour of the gums removes away the look of the teeth and smile line, otherwise, healthy dentition.
  • Post-Inflammatory Pigmentation : The discolouration that fails to disappear completely even after the chronic gingival inflammation has been resolved; however, it is a less frequent sign.

Effects

  • Uniform Pink Gums : It permanently eliminates the pigmented cells on the surface, leaving the desired pink tissue in the treated region lightened and uniform in colour.
  • Greater Smile Beauty : The correction of the colour difference results in a more harmonised and lively smile and provides the white of the teeth with the strength to shine.
  • Enhanced Self-Confidence : It is common to hear that patients experience a sharp rise in self-confidence and a desire to smile with confidence once their gum colour has been cosmetically enhanced.

Why Choose This Clinic?

We also utilise specialised procedures, such as laser technology, to depigment the gums with minimal pain, a quick recovery, and precise accuracy and predictability in aesthetics.

Get in touch with us.